

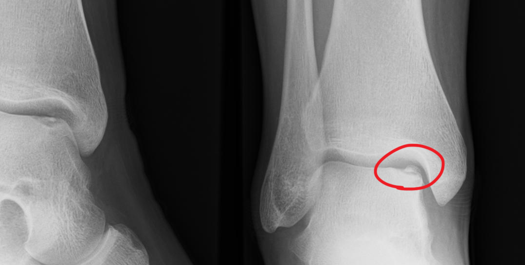
there's even talk of necessary surgery. I know it sounds serious and all, but it also sounds pretty ridiculous. So though it's quite restricting not being able to really walk, I have a hard time taking it too seriously at the moment.
See, most offices in the clinic are shared by a couple of doctors, using it in turns throughout the week. So instead of focusing on my crumby (ha!) predicament, I just think how funny it is that the room next to the orthopedist is shared by both a hand experts, and a breast surgery expert.
I can always trust Barney Stinson to illustrate silly dirty ideas:
(i'm just making a point, HIMYM episodes property of CBS, of course, i don't own this material, etc.)